Moelle - Physiologie

La moelle osseuse est l'organe le plus important (plus de 1 kg) et l'un des plus actifs tout au long de la vie. Elle fabrique en quantité énorme les globules rouges, les polynucléaires et monocytes et les plaquettes sanguines. Elle est le lieu de naissance des lymphocytes primordiaux, avant qu'ils ne colonisent les organes lymphoïdes.

A la naissance la moelle osseuse a définitivement pris le relais des organes hématopoïétiques de la vie fœtale qu'étaient le foie et la rate. Elle est alors extrêmement riche, occupant tous les espaces intra-osseux. Progressivement cette moelle va devenir graisseuse et se limiter à quelques segments du squelette : côtes, sternum, pelvis, vertèbres, crâne, épiphyses des os longs. A l'âge adulte l'activité médullaire est hétérogène, elle ne travaille qu'au quart de sa capacité, mais peut mobiliser ses réserves si besoin est.

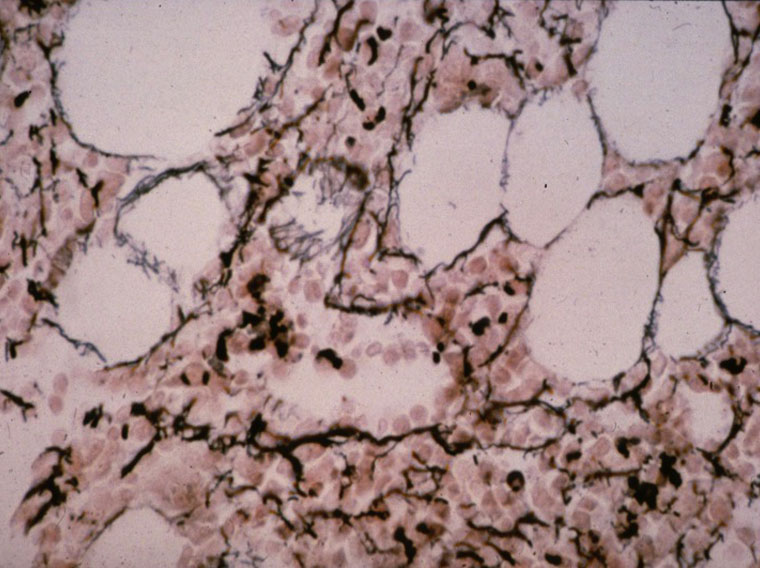
Les logettes médullaires sont séparées les unes des autres par des lamelles osseuses et sous-tendues par une trame réticulo-vasculaire qui joue le rôle d'un filtre, véritable barrière hémo-médullaire ne laissant passer dans le sang périphérique que les éléments cellulaires les plus mûrs, au cyto-squelette suffisamment malléable. En cas d'anomalie structurale de cette barrière, ou en cas d'anomalie du cyto-squelette des cellules médullaires, des éléments immatures passent dans le sang, constituant le phénomène de la myélémie.

La moelle osseuse fabrique tous les éléments figurés du sang circulant, par l'intermédiaire de lignées cellulaires indépendantes, toutes issues d'une même cellule souche.

Le secteur des cellules souches est quantitativement faible mais physiologiquement très important. Il est auto entretenu, le stock de cellules souches étant fixe tout au long de la vie. Il est en fait très complexe, formé d'une part de cellules totipotentes capables de générer n'importe quel précurseur de cellule sanguine, d'autre part de cellules multi, bi ou unipotentes engendrant une ou plusieurs lignées, enfin de cellules précurseurs de lignée déjà engagées dans un processus de différenciation irréversible qui n'aboutira qu'à un seul type de cellule mûre.

Les lignées cellulaires naissent d'une cellule souche précurseur et comportent une phase de multiplication cellulaire et une phase de maturation, sans division, au cours de laquelle la cellule acquiert ses caractéristiques de cellule mûre fonctionnelle.

Les lignées granuleuses représentent environ 60% des cellules médullaires et comportent trois sous-lignées : neutrophile, éosinophile et basophile. La phase de multiplication est faite des stades de myéloblastes, promyélocytes et myélocytes, ces derniers correspondant à plusieurs mitoses successives. La phase de maturation est faite des stades de métamyélocytes et polynucléaires. Il faut environ 6 jours pour passer du stade de myéloblaste à celui de polynucléaire.

La lignée érythroblastique représente environ 20% des cellules médullaires et aboutit au globule rouge anucléé. Les stades de prolifération comportent les proérythroblastes, les érythroblastes basophiles et les érythroblastes polychromatophiles, le stade de maturation les érythroblastes acidophiles. Il faut environ 5 jours pour faire un globule rouge à partir d'un proérythroblaste.

La lignée plaquettaire ne comporte qu'un très faible pourcentage de cellules médullaires du fait que la phase de prolifération se fait par endomitose aboutissant à des cellules géantes, les mégacaryocytes, qui donnent naissance aux plaquettes sanguines par fragmentation de leur cytoplasme

La moelle osseuse contient aussi environ 20% de cellules blanches non granuleuses comprenant des monocytes, un faible pourcentage de lymphocytes primordiaux, des lymphocytes sanguins et des plasmocytes.

Multiplication et différenciation cellulaire se font sous l'impulsion d'une cascade complexe de facteurs de croissance appelés cytokines (GM-CSF, G-CSF, érythropoïétine, interleukines, etc.).

Exploration de la moelle osseuse

Les méthodes d'exploration de la moelle osseuse, utilisables en clinique, sont au nombre de cinq : l'hémogramme, les méthodes d'étude morphologique directe par ponction ou biopsie, les explorations isotopiques et les cultures in vitro.

1 - La banale numération formule sanguine (NFS) est sans conteste la plus simple à condition de bien savoir l'interpréter. Les cellules sanguines sont en effet le reflet de l'activité médullaire et presque toutes les anomalies dans l'équilibre des lignées médullaires se traduisent par des anomalies quantitatives de la NFS. En fait le recours aux autres modes d'exploration de la moelle osseuse est rare pour qui sait interpréter correctement une NFS.

2 La ponction médullaire, généralement au niveau du sternum, permet une étude morphologique précise des diverses lignées cellulaires présentes dans la moelle, de leur équilibre respectif et de leur degré de maturation. Les prélèvements de moelle par ponction permettent aussi des études cytochimiques, d'immunomarquages et de cyto-génétiques qui aident à la caractérisation des cellules, notamment au cours des phénomènes pathologiques. En revanche elle ne renseigne que très approximativement sur la véritable richesse de la moelle et ne donne aucun renseignement sur sa structure.

3 - C'est la biopsie, généralement au niveau de l'os iliaque, qui fournit au mieux ces renseignements. La richesse cellulaire de la moelle, la quantité de cellules graisseuses, la présence ou non de fibrose, l'infiltration par des cellules sarcomateuses ou tumorales sont mieux appréciées par la biopsie que par la ponction.

4 - Les explorations isotopiques sont de deux types, les unes permettent d'étudier la répartition et la richesse globale de la moelle osseuse active (par injection d'isotopes radioactifs de Technetium ou Indium) et d'obtenir des images scintigraphiques de cette répartition, les autres explorent en fait la physiologie de la lignée érythroblastique et la synthèse de l'hémoglobine par l'injection de Fer radioactif.

5 - Les cultures de moelle in vitro sont passées du domaine de la recherche sur les cellules souches au domaine clinique et sont actuellement un moyen privilégié d'affirmer certains diagnostics d'hémopathies tels que les polyglobulies primitives et les diverses myélodysplasies. Une forme particulière de culture de moelle de courte durée permet l'étude cytogénétique des cellules médullaires, très utile dans le diagnostic de certaines hémopathies malignes, notamment la leucémie myéloïde chronique.